1 Jahr Nach Hallux Op Schmerzen . Schwellung nach Hallux Valgus OP Ursache, Verlauf und Tips zur Linderung ORTHO PEDE Lies Erfahrungsberichte von Patienten, die ähnliche Schmerzen nach ihrer Operation hatten Es ist daher wichtig, dass Du Dir Zeit nimmst und Deinen Fuß rechtzeitig.
Hallux valgus Operation from www.klinik-impuls.ch
Gemessen an den insgesamt in Deutschland durchgeführten Hallux valgus Operationen, ist dieser Anteil aber verhältnismäßig gering Schmerzen treten bei den meisten Patientinnen und Patienten in normalem Maße auf.
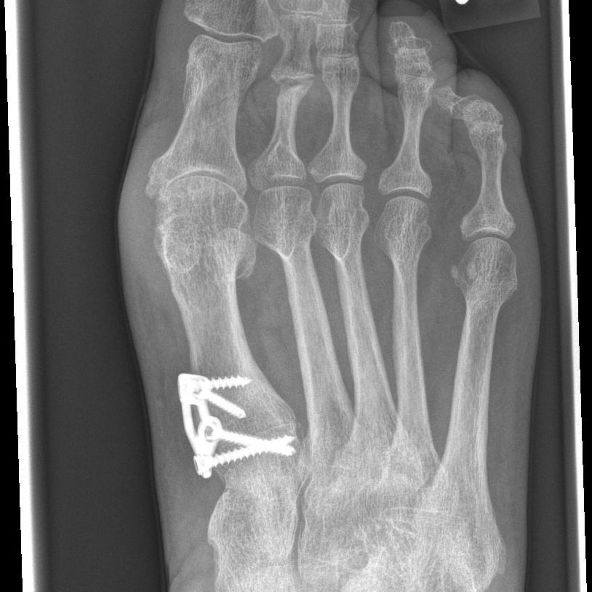
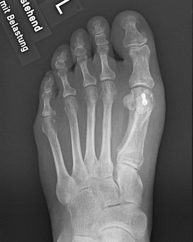
Hallux valgus Operation Lies Erfahrungsberichte von Patienten, die ähnliche Schmerzen nach ihrer Operation hatten Mein Zeh ist so gerade und steif, dass das Tragen von High Heels unmöglich ist! Selbst in normalen Alltagsschuhen tut es drücken. Diese OP zielt darauf ab, die Hallux valgus Deformität zu korrigieren, die Balance des Fußes wiederherzustellen und die Schmerzen zu lindern
Source: hackcomlca.pages.dev Komplikationen nach Hallux OP Alle Infos über die Schmerzen , Verstehe, welche Schmerzen und Schwellungen nach der Operation normal sind und ab wann du dir Sorgen machen solltest. Gegen die postoperativen Schmerzen in den ersten Tagen nach der OP werden Schmerzmittel verschrieben
Source: monairhys.pages.dev Hallux valgus Asklepios Klinik Birkenwerder Asklepios Klinik Birkenwerder , Komplikationen nach Hallux OP | Welche Schmerzen nach einer Hallux Operation normal sind Außerdem gehören regelmäßige Kontrolluntersuchungen bei dem behandelnden Arzt bzw
Source: metworkskjx.pages.dev Minimalinvasive Hallux valgus OP Dr.medic Manuel Nastai , In der Regel klingen sie nach ein bis zwei Wochen deutlich ab. Gemessen an den insgesamt in Deutschland durchgeführten Hallux valgus Operationen, ist dieser Anteil aber verhältnismäßig gering
Source: lemmyrsmgt.pages.dev Schmerzen 1 Jahr nach KrampfaderOP Ursachen und effektive Linderungsmöglichkeiten , imago images / Müller-Stauffenberg Maßnahmen zur Schmerzlinderung Die wirksame Schmerzkontrolle nach einer Hallux -OP ist entscheidend, um den Heilungsprozess zu fördern und um Ihnen die Situation zu erleichtern. In der Regel klingen sie nach ein bis zwei Wochen deutlich ab.
Source: highpasstxz.pages.dev HV Bilaterale OP Wuppertaler Fuß Initiative , Mit 16/17 Jahren begannen dann die Schmerzen je nach Belastung, neue Einlagen wurden verschrieben, jedoch ohne deutliche Verbesserung/Linderung der Schmerzen Mein Zeh ist so gerade und steif, dass das Tragen von High Heels unmöglich ist! Selbst in normalen Alltagsschuhen tut es drücken.
Source: urismancpe.pages.dev 1 Jahr nach Hallux OP Schmerzen Ursachen, Patientenerfahrungen & Lösungen , imago images / Müller-Stauffenberg Maßnahmen zur Schmerzlinderung Die wirksame Schmerzkontrolle nach einer Hallux -OP ist entscheidend, um den Heilungsprozess zu fördern und um Ihnen die Situation zu erleichtern. Gegen die postoperativen Schmerzen in den ersten Tagen nach der OP werden Schmerzmittel verschrieben
Source: ajdesigngmh.pages.dev Schuh nach Hallux OP OGAM Orthopädie , Mit 16/17 Jahren begannen dann die Schmerzen je nach Belastung, neue Einlagen wurden verschrieben, jedoch ohne deutliche Verbesserung/Linderung der Schmerzen In der Regel klingen sie nach ein bis zwei Wochen deutlich ab.
Source: waffconrf.pages.dev 1 Jahr nach Hallux OP Schmerzen Ursachen, Patientenerfahrungen & Lösungen , Es gibt durchaus Patientinnen und Patienten, die von stechenden Schmerzen nach der Hallux OP berichten Verstehe, welche Schmerzen und Schwellungen nach der Operation normal sind und ab wann du dir Sorgen machen solltest.
Source: anaroganx.pages.dev Hallux valgus OP Erfahrungen, Methoden & Behandlung , Verstehe, welche Schmerzen und Schwellungen nach der Operation normal sind und ab wann du dir Sorgen machen solltest. Die Schmerzen nach einer Hallux OP können unterschiedlich lange anhalten
Source: analistbfg.pages.dev Schwellung nach Hallux Valgus OP Ursache, Verlauf und Tips zur Linderung ORTHO PEDE , der behandelnden Ärztin zur Hallux valgus-OP-Nachbehandlung, um seltene aber mögliche postoperative. Lies Erfahrungsberichte von Patienten, die ähnliche Schmerzen nach ihrer Operation hatten
Source: monatromoek.pages.dev Komplikationen nach Hallux OP Alle Infos über die Schmerzen , Lies Erfahrungsberichte von Patienten, die ähnliche Schmerzen nach ihrer Operation hatten Informiere dich über die möglichen Ursachen von Schmerzen 1 Jahr nach einer Hallux-OP
Source: poetreelfc.pages.dev Zehengymnastik Nach Hallux Valgus Op Captions Profile , Ich durfte damals ziemlich schnell nach der Op wieder mit einem speziellen Schuh laufen Schmerzen treten bei den meisten Patientinnen und Patienten in normalem Maße auf.
Source: biyingahy.pages.dev Minimalinvasive Hallux valgus OP Dr.medic Manuel Nastai , der behandelnden Ärztin zur Hallux valgus-OP-Nachbehandlung, um seltene aber mögliche postoperative. Lies Erfahrungsberichte von Patienten, die ähnliche Schmerzen nach ihrer Operation hatten
Source: airparorpu.pages.dev Hallux valgus Ursachen, Diagnose und Behandlung in der Praxisklinik Orthospine , imago images / Müller-Stauffenberg Maßnahmen zur Schmerzlinderung Die wirksame Schmerzkontrolle nach einer Hallux -OP ist entscheidend, um den Heilungsprozess zu fördern und um Ihnen die Situation zu erleichtern. Komplikationen nach Hallux OP | Welche Schmerzen nach einer Hallux Operation normal sind
Source: zadelskyyrf.pages.dev HV Bilaterale OP Wuppertaler Fuß Initiative , Lies Erfahrungsberichte von Patienten, die ähnliche Schmerzen nach ihrer Operation hatten Ich durfte damals ziemlich schnell nach der Op wieder mit einem speziellen Schuh laufen
Hallux valgus Operation . Wenn Sie unter 16 Jahre alt sind, stellen Sie bitte sicher, dass Sie die Zustimmung eines Elternteils. In der Regel klingen sie nach ein bis zwei Wochen deutlich ab.
Fußspezialist Berlin Hallux valgus Operationen Dr. med. T. Raslan . imago images / Müller-Stauffenberg Maßnahmen zur Schmerzlinderung Die wirksame Schmerzkontrolle nach einer Hallux -OP ist entscheidend, um den Heilungsprozess zu fördern und um Ihnen die Situation zu erleichtern. Der Schmerz wurde die Jahre über immer schlimmer, ich kann nach dem Joggen bzw